Add your promotional text...
ما هو الجنف؟
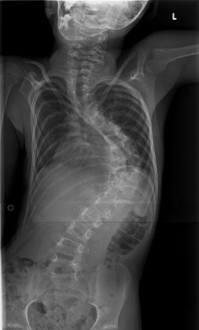
الجنف هو حالة بنيوية تصيب العمود الفقري، حيث ينحني العمود الفقري بشكل غير طبيعي من جانب إلى آخر، وغالبًا ما يصاحبه دوران حول محوره بدلًا من بقائه مستقيمًا عند النظر إليه من الخلف. وقد يأخذ هذا الانحناء شكل حرف S أو C، ويظهر الجنف بشكل أكثر شيوعًا خلال فترات النمو السريع مثل مرحلة المراهقة، إلا أنه قد يحدث في أي عمر.


كيف يؤثر الجنف على العمود الفقري
في العمود الفقري السليم، تُشكِّل الفقرات عمودًا رأسيًا مع انحناءات طبيعية خفيفة من الأمام إلى الخلف. أمّا في حالة الجنف، فإن العمود الفقري ينحني أيضًا بشكل جانبي في المستوى الأمامي، وقد يصاحبه دوران، مما قد يؤدي إلى عدم التناسق في وضعية الجسم والمظهر العام.
ويُؤخَذ تشخيص الجنف عادةً بعين الاعتبار عندما يتجاوز انحناء العمود الفقري حدًا معيّنًا في الفحوصات التصويرية، وغالبًا ما يتم قياس ذلك باستخدام زاوية كوب (Cobb angle) في صور الأشعة السينية.


الأسباب وعوامل الخطر
في معظم حالات الجنف يكون السبب غير معروف (ويُعرف بالجنف مجهول السبب)، إلا أن عوامل الخطر قد تشمل وجود تاريخ عائلي للحالة، أو النمو السريع خلال فترة البلوغ، إضافة إلى بعض العوامل الوراثية والبيئية.
وفي حالات أخرى، قد يرتبط الجنف بتشوّهات خَلقية في العمود الفقري، أو بحالات عصبية عضلية، أو بتغيّرات تنكسية تصيب العمود الفقري لدى البالغين.
الأنواع الشائعة من الجنف
الجنف مجهول السبب


يُعد هذا النوع هو الأكثر شيوعًا، وغالبًا لا يكون له سبب محدد وواضح. ويظهر عادةً خلال أواخر مرحلة الطفولة أو المراهقة، وقد يتفاقم مع استمرار نمو الجسم.
الجنف الخِلقي
ينتج الجنف الخِلقي عن تشوّهات في الفقرات تكون موجودة منذ الولادة، ويحدث نتيجة عدم اكتمال تطوّر العمود الفقري أثناء مرحلة النمو داخل الرحم.




يرتبط هذا النوع من الجنف بحالات عصبية أو عضلية، مثل الشلل الدماغي أو الحثل العضلي، وينشأ نتيجة ضعف أو عدم توازن الدعم العضلي للعمود الفقري.
الجنف العصبي العضلي


قد يتطوّر هذا النوع من الجنف في مرحلة البلوغ نتيجة تآكل الأقراص الفقرية والمفاصل مع التقدّم في العمر، مما يؤدي إلى انحناء جانبي في العمود الفقري واختلال في التوازن.
الجنف التنكسي
كيف يتم تشخيص الجنف
يبدأ تشخيص الجنف بتقييم سريري يشمل أخذ تاريخ صحي مفصّل وفحصًا بدنيًا شاملًا. وقد يلاحظ الممارس الصحي وجود عدم تماثل في مستوى الكتفين أو الوركين أو الخصر، أو اختلافًا في وضعية الجسم. وتُستخدم الفحوصات التصويرية، مثل الأشعة السينية، لتأكيد وجود الانحناء وقياس درجة شدّته.


المسار الطبيعي للحالة وتطورها
في كثير من الحالات، يبقى الجنف الخفيف مستقرًا ولا يسبب أعراضًا ملحوظة. ومع ذلك، فإن الانحناءات التي تتفاقم بمرور الوقت — خاصة خلال فترات النمو السريع — قد تؤثر على وضعية الجسم، والقدرة على الحركة، ومستوى الراحة. أما الانحناءات الشديدة، فقد تؤثر على الوظيفة الميكانيكية للعمود الفقري والأنسجة المحيطة به إذا لم تتم متابعتها وإدارتها بشكل مناسب.


لماذا يُعد الاكتشاف المبكر مهمًا
يساعد الكشف المبكر عن الجنف على إجراء التقييم والمتابعة في الوقت المناسب. وبالنسبة للأطفال والمراهقين، تُسهم الفحوصات الروتينية خلال مراحل النمو السريع في تحديد ما إذا كانت الانحناءات في حالة تقدّم. كما يدعم الاكتشاف المبكر التخطيط لتدخلات مناسبة عند الحاجة، مثل المراقبة الدورية، واستخدام الدعامات، والعلاجات الداعمة.


حجز تقييم الجنف
إذا لاحظت علامات تشير إلى الإصابة بالجنف — مثل عدم تساوي الكتفين، أو عدم تماثل الوركين، أو تغيّرات في وضعية الجسم — أو إذا تم تشخيصك بالفعل وترغب في إجراء تقييم شامل، يُرجى التواصل مع مركز CBP Precision Spine Center في مسقط، عُمان لحجز تقييم الجنف مع فريقنا السريري.



طبيب تقويم العمود الفقري قريب مني ومناسب لي.
اختبر بنفسك الفرق الكبير الذي يمكن أن يُحدثه أفضل طبيب تقويم عمود فقري في مسقط ومنهج Chiropractic BioPhysics© في حياتك.


